【送料無料 試し装着(1分)のみ!】反対咬合 歯科矯正 子どもの反対咬合は自然に治る?矯正治療が必要なケースを解説!【大宮
(3007件)
Pontaパス特典
サンキュー配送
9396円(税込)
94ポイント(1%)
Pontaパス会員ならさらに+1%ポイント還元!
送料
(
)
3002
配送情報
お届け予定日:2026.04.25 4:52までにお届け
※一部地域・離島につきましては、表示のお届け予定日期間内にお届けできない場合があります。
ロットナンバー
74433167456
お買い物の前にチェック!
Pontaパス会員なら
ポイント+1%
ポイント+1%
商品説明




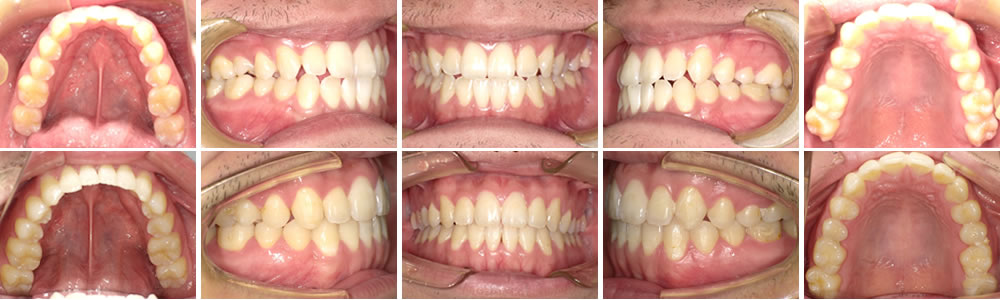
反対咬合の為の歯科矯正器具です。歯科にて試し装着しただけなので1分くらい付けて、白いファスナー付き袋にしまっていました。画像のものが全てになります。⚠︎プロフィールお読みください(*´꒳`*)⚠︎ネコポス発送予定です。ご質問等ございましたらお気軽にお声掛けください!#反対咬合#歯科矯正#矯正#矯正器具
| カテゴリー: | ダイエット・健康>>>矯正用品・補助ベルト>>>その他 |
|---|---|
| 商品の状態: | 未使用に近い","数回使用し、あまり使用感がない |
| 配送料の負担: | 送料込み(出品者負担) |
| 配送の方法: | 佐川急便/日本郵便 |
| 発送元の地域: | 山形県 |
| 発送までの日数: | 2~3日で発送 |
レビュー
商品の評価:




5.0点(3007件)
- なかやんかくさん
- しっかりしています、部屋のインテリアにもなりそうです。
- BH楽天
- こちらで評価が良かったのでラヂオライト製ですが購入.... 非常に後悔しております。 みなさん、本当に使えているのでしょうか。その後が聞きたいです。 木灰に慣れていたせいか、炭が沈み込むので扱えませんでした。 炭を置くと独特の花火の火薬のような匂いがします。 混ぜてしまって、取り戻せません。 総入れ替えする事になりました。 初めての継ぎ足しだったので勉強代とします。。。 ショップのご対応は満足です。
すべて見る
お店の情報
7,367
連絡・応対
4.3
配送スピード
4.3
梱包
4.3










