審美修復治療 複雑な義歯のマネージメント 前歯部審美修復 天然歯編 - クインテッセンス出版
(2961件)
Pontaパス特典
サンキュー配送
6960円(税込)
70ポイント(1%)
Pontaパス会員ならさらに+1%ポイント還元!
送料
(
)
2942
配送情報
お届け予定日:2026.05.03 8:20までにお届け
※一部地域・離島につきましては、表示のお届け予定日期間内にお届けできない場合があります。
ロットナンバー
5738299216
お買い物の前にチェック!
Pontaパス会員なら
ポイント+1%
ポイント+1%
商品説明




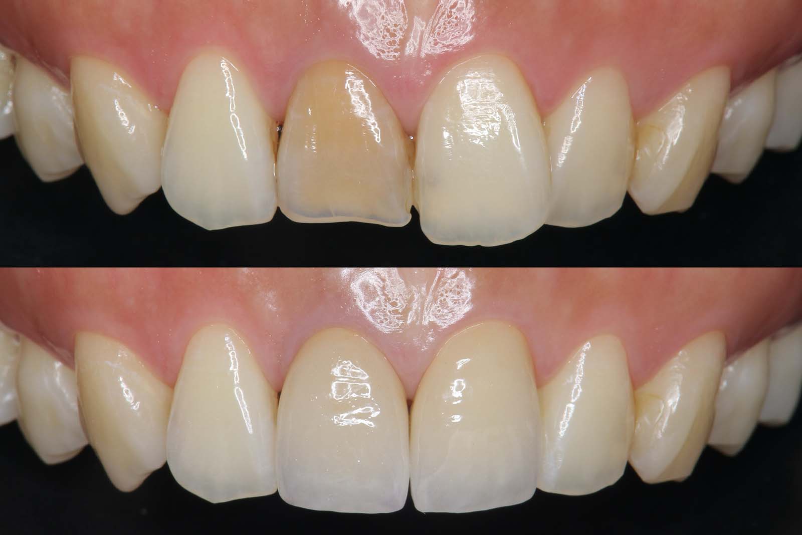
※自宅保管のため神経質な方はご遠慮ください※著者による前所有者向けのサイン記入されています。必要なければカットします。審美修復治療 : 複雑な補綴のマネージメント」山崎 長郎定価: 36000円+税箱の裏側に1箇所汚れがございますが、本自体には汚れはないので目立った汚れなしにしております。
| カテゴリー: | 本・雑誌・漫画>>>本>>>健康・医学 |
|---|---|
| 商品の状態: | 目立った傷や汚れなし","細かな使用感・傷・汚れはあるが、目立たない |
| 配送料の負担: | 送料込み(出品者負担) |
| 配送の方法: | 佐川急便/日本郵便 |
| 発送元の地域: | 東京都 |
| 発送までの日数: | 1~2日で発送 |
レビュー
商品の評価:




4.8点(2961件)
- あしぽん3003
- キリン好きの友達の誕生日プレゼントに買いました 友達もすっごい喜んでくれました^ ^ キリン好きなら楽しめると思います
- りり3508
- クリスマスのお話をしてあげたくて、子供が好きなアンパンマンの絵本を注文しました。届いたら早速子供に読んであげようと思います。
- うさぴょん2483
- 動物園に行った後にこの本を購入しました。フラミンゴの色がなぜ赤いのか?レッサーパンダのエサの食べ方などこの本を読むと又動物園に行きたくなりました。
- きょん吉88
- 映画にもなっている「あらしのよるに」 の3巻目 大人が読んでも楽しめます(o^v^o)
- satoinukoinu
- バムとケロのシリーズを数年前、家内がこどものために買ったのですが、いまでもお気に入りです。今回、甥にプレゼントとして送ったのですが気に入ってくれたようです。
- 水上氷魚
- ものすごいはまって何回も読んで読んでって言ってきます。 だんごむしの生体が詳しく書かれてて親も勉強できる絵本です。
- サクラ5087
- 久しぶりに読みましたが、いまだに人気の絵本です。ちいさな子供におススメです。
- SMILEAGAIN
- 絵とタイトルにひかれて買ってしまいました。 話の内容はいまいちですが、嫌いになれない感じです。 味なやつです。。
- 旅行1018
- 絵もいいけど、実物を見せてあげたくて購入しました。野菜・果物しかないので、ちょっと物足りなさがありますが、きれいな写真に子供も、指をさしながら見て楽しんでいました。
- autumn1029
- 1歳の娘に購入。 しっかりした作りで少し舐めてしまっても問題なさそうな材質です。まだ上手に指を動かせませんが、手伝ってあげると嬉しそうにニコニコします。ページが少ないのでもう少しあったらなと欲張りたい気持ちがあります。 イラストもとてもおしゃれで私の方が気に入ってます。もうひとつの「ようせいたちのもり」も欲しくなりました。
- aoaoemiemi
- 人気の絵本でとても楽しい内容でした。ちいさな子供におススメです。
- しろねこ5322
- 三歳になったばかりの娘が、児童館に行く度この本を開いていたので、買ってみました(^O^) 嬉しそうに読んでます♪ 他の作品も揃えたいです
- s33306968
- 3歳の子供がいるのですが、この本をプレゼントしたら、切ったり、貼ったり、クレヨンで書いたりしてとても楽しく遊んでくれました。大好評です。
- 02sure24
- 20日に注文して翌日に、指定した実家に届きました! 1週間後、子どもの誕生日に両親からプレゼント予定なので、迅速な対応でありがたいです。 まだ商品は見れていませんが、2歳になる子どもの寝る前の読み聞かせが楽しみです。
- k9219
- やはりこの本は【ぼくのおべんとう】も一緒に買った方がいいと思います。
- utamom
- 3歳の子供がいるのですが、この本をプレゼントしたら、切ったり、貼ったり、クレヨンで書いたりしてとても楽しく遊んでくれました。大好評です。
すべて見る
お店の情報
7,367
連絡・応対
4.3
配送スピード
4.3
梱包
4.3










