歯周病患者のインプラント治療 歯周病患者へのインプラント治療の実際| 歯科総合出版社 デンタル
(2952件)
Pontaパス特典
サンキュー配送
6000円(税込)
60ポイント(1%)
Pontaパス会員ならさらに+1%ポイント還元!
送料
(
)
2942
配送情報
お届け予定日:2026.04.24 14:2までにお届け
※一部地域・離島につきましては、表示のお届け予定日期間内にお届けできない場合があります。
ロットナンバー
5738253361
お買い物の前にチェック!
Pontaパス会員なら
ポイント+1%
ポイント+1%
商品説明


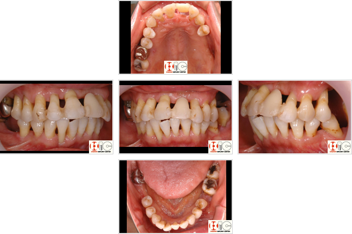
インプラント治療に関する専門的な知識を提供する書籍。- タイトル: 歯周病患者のインプラント治療- 著者: 弘永秀明・古賀剛人- 出版社: 医歯薬出版株式会社- 言語: 日本語- 内容: インプラント治療に関する専門的な知識と技術が解説されている。- 対象読者: 歯科医師、歯科衛生士、歯科学生定価18500円ご覧いただきありがとうございます。
| カテゴリー: | 本・雑誌・漫画>>>本>>>健康・医学 |
|---|---|
| 商品の状態: | 目立った傷や汚れなし","細かな使用感・傷・汚れはあるが、目立たない |
| 配送料の負担: | 送料込み(出品者負担) |
| 配送の方法: | 佐川急便/日本郵便 |
| 発送元の地域: | 宮城県 |
| 発送までの日数: | 2~3日で発送 |
レビュー
商品の評価:




4.3点(2952件)
- すもも1515
- 給食番長につづいて二冊目購入です!! シリーズ二弾目! 外国人の転校生がやってきて、プププ〜(笑 相変わらずすごい独創的な絵と 博多弁のバイリンガルと道徳的なことを 遊びながら身につけられて好きです★ 早く届かないかな〜
- mocha1222
- 大好きなユーチューバー、エミリンちゃん作成の絵本なので勿論購入しました。 お子さんがいる方にプレゼントしたい商品ですね☆
- まい**
- 恐竜好きの息子へ。このシリーズを買うのは3冊目ですが、とても楽しんでます。
- テ2
- お姉ちゃんになった2歳の娘に購入しました。 妻が泣きながら読んでいるのをみてとても良かったと思います。 すごく心が優しい気持ちになりました。 ホント買って良かった。
- まーちょたん
- やっと購入届きました。絵も可愛くて大好きです。
- もう頼まない
- 発表会で踊るダンスで購入しました。ちびゴジラも私も分からず、購入してちびゴジラの存在が分かりました。子どもたちも嬉しく楽しく本の読み聞かせ喜んでます。
- kumi4892
- 友人の子供にプレゼントしました。特にバチが気に入ったようで、叩いたりなめたりしていました。買ってよかったです。
すべて見る
お店の情報
7,367
連絡・応対
4.3
配送スピード
4.3
梱包
4.3










